Science Corporation

Image of the chip in a patient’s eye
The chip, combined with augmented reality glasses, sends visual data directly to the brain. In clinical trials, most participants regained enough vision to read words and cope with everyday life.
A new electronic eye implant, combined with augmented reality glasses, has restored the ability to read to people who had lost central vision due to age-related dry macular degeneration (dry DMAE).
The clinical trial, which in Europe was led by researchers from University College London (UCL) and Moorfields Eye Hospital and whose results were presented in a published on Monday in The New England Journal of Medicineinvolved 38 patients in 17 hospitals in five countries.
DMAE dries gradually destroys cells sensitive to light from the macula, degrading central vision over time. In its advanced stage, called geographic atrophy (GA), the degeneration can lead to total blindness in the affected eye as the central macula deteriorates.
Nearly 5 million people worldwide live with AGa condition for which there is currently no treatment. Study participants maintained only peripheral vision, notes .
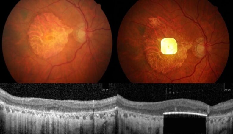
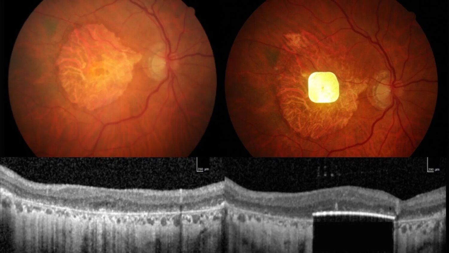
The implant, known as PRIMAallowed 84% of participants in the trial recognize letters, numbers and words in a previously blind eye. on a board of vision tests — the contours of which, before the surgery, they could not even distinguish.
The procedure begins with the removal of vitreous gel from the eyefollowed by placing a microchip measuring just 2 mm by 2 mm under the central retina.
After healing, patients wear special glasses that capture images and project them onto the implant, transforming visual signals into electrical stimuli that the brain interprets as vision. Months of rehabilitation allow you to learn to read again.
The PRIMA system includes augmented reality glasses that send signals to a wireless chip implanted in the user’s eye
“Where the dead retina it was a complete blind spot, vision was restored“, says Frank Holz, ophthalmologist at the University of Bonn and lead author of the study, to . “Patients were able to read lettersthey were able to read words and were able to carry out their daily activities.”
“This is a new era of artificial vision. Recovering reading significantly improves patients’ quality of life, confidence and independence”, highlights the professor Mahi Muqitleader of the team that conducted the trial in Europe.
Sheila Irvine, one of the participants, describes the experience as moving: “It was amazing to start seeing lyrics again. Reading transports us to another world and I feel more optimistic.”
At age 70, Irvine thought he would never read another book. “I always loved reading, and I wanted to get that back. I was nervous, excitedall these emotions. I didn’t feel any pain during the operation, but you are still aware of what is happening.
“It’s a new way of seeing with your eyesand it was extremely exciting when I started to see a lyric. Learning to read again is not simple, but the more hours I put in, the more I achieve”, he concludes.