(dr) IVIRMA Global

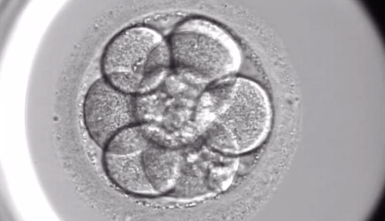
3D chip implantation model allows you to simulate human embryonic implantation up to the 14th day of development.
For the first time, it was The implantation of the human embryo in its first days was reproduced in the laboratory of development.
The unprecedented discovery was carried out by an international team of researchers from Spain, the United Kingdom and the United States of America.
This proves to be an advance in a complex and decisive process for the success of a pregnancy.
The model recreates a human endometrium in three dimensions from cells taken from the inner layer of the uterus.
The researchers were able to observe, in great detail, the embryonic implantation process until the 14th day – a milestone never reached outside the human body.
“For the first time, it is possible to study the complete development of the human embryo up to the 14th day, using a model that almost perfectly replicates the environment of the uterus”, explains the study’s main author, Francisco Domínguez.
Embryo implantation continues to be one of the most critical – and, at the same time, least understood – phases of pregnancy and medically assisted reproduction treatments.
Therefore, the scientist believes, this system will allow “better understand why implantation fails in certain women and develop more personalized strategies.”
This way, it will be possible to “recreate each person’s endometrium from their own cells, which paves the way for a reproductive medicine that is more precise and adjusted to each case”, reads a statement sent to ZAP.
The model has been optimized so that it can be reproduced by laboratories around the world, which facilitates the development of new lines of investigation into the first days of pregnancy.
