SCIMAGO / SciELO

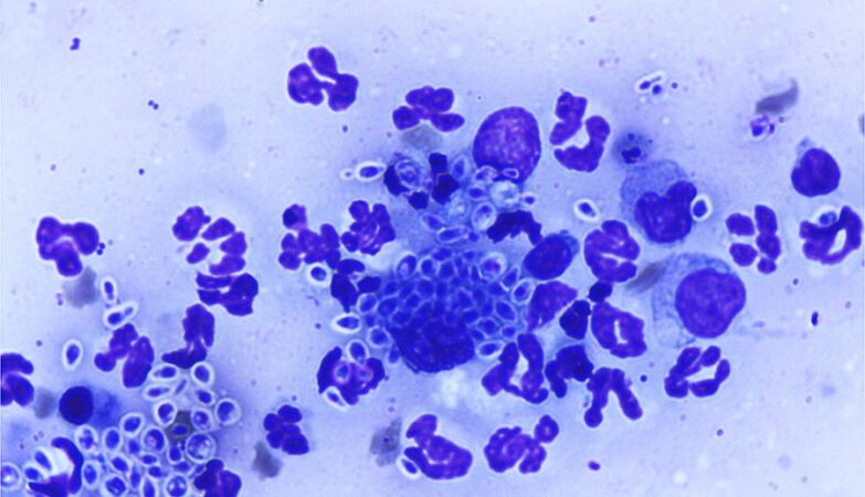
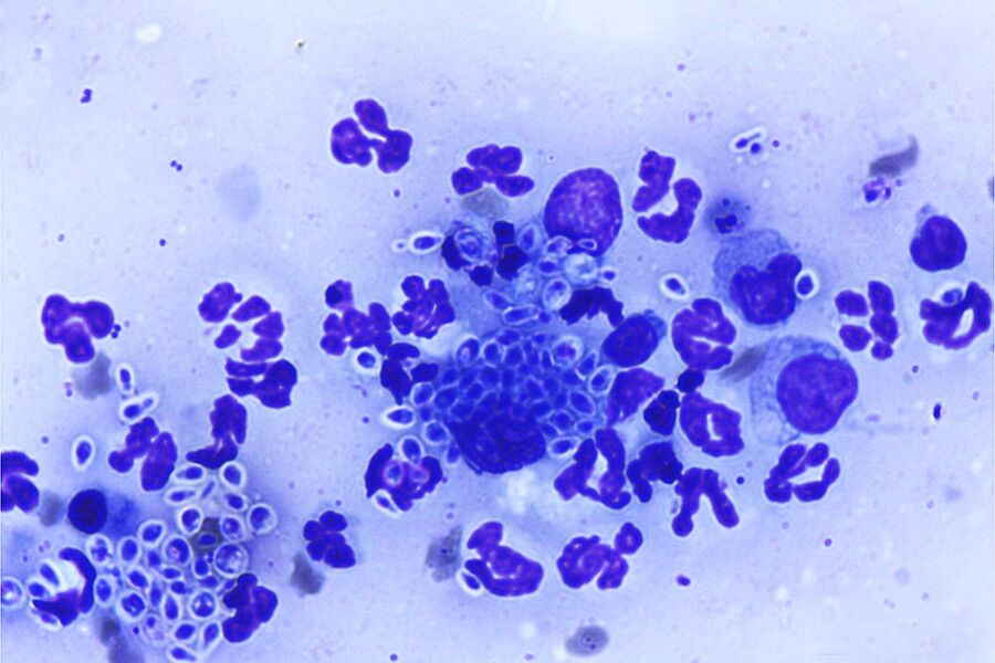
Sample from a feline lesion showing free and intracytoplasmic yeast forms of Sporothrix sp. in macrophages
Investigators documented the presence of Sporothrix brasiliensisa fungus that causes skin infections, in Uruguay, after cat-borne infections were confirmed in people, pets and local animals.
The discovery of Sporothrix brasiliensis in Uruguay transforms a single alarming case in evidence that a fungal threat that is more difficult to control has now gained new points of spread in South America.
In Maldonado and Rocha, regions on the southeast coast of Uruguay, a warning from the Institute of Hygiene documented the fungus in catsother pets and people.
Based on this evidence, Elisa Cabeza, from the Universidad de la República (Udelar), related these cases to Sporothrix brasiliensis. Cabeza’s team found sick cats in both regions with no connection to the first adopted kitten, suggesting that the fungus was spreading locally.
This evidence changed the threat from a simple isolated domestic problem to a more complex issue: why cats transmit this species of fungus so efficiently.
Open wounds on infected cats carry large amounts of the fungus, especially in the nose, face, mouth and paws. When claws, teeth or fluid from wounds penetrate human skin, the fungus settles directly on the tissue and begins to develop.
A recent review noted that cats can transfer large amounts of yeast-like cells during scratches, bites and contact with exudates.
How stray cats become infectedget involved in fights and circulate freely, they can continue to transmit the fungus between neighborhoods before anyone realizes, explains .
Outside a body, the fungus grows as branched filamentsbut body heat pushes it into a compact yeast form. This physical change is important because the smaller shape installs more easily in damaged skin and multiplies within living tissue.
Researchers call this dimorphisma temperature-driven change between two body forms, and this helps the species survive in indoor and outdoor environments. Such flexibility is one of the reasons by which the organism can persist in the environment and continue to infect mammals when it encounters them.
In people, the sporotrichosisa skin infection that often appears after a scratch, usually starts as a red bump that opens up. Before long, more lumps may appear in a line as the fungus moves through nearby drainage channels under the skin.
Affected cats often present persistent sores, scabs and hair loss, especially on the face and head. They may also sometimes present red and runny eyes.
Rarely, the disease spreads beyond the skin and drainage channels, which is why initial injuries are more important than their appearance might suggest.
Doctors usually confirm infection by examining microscopic material collected from a wound or by growing the fungus in a laboratory. This is crucial, because wounds are often mistaken for infections bacteria, which leads patients to take antibiotics that have no effect.
“The infection has a cure“, guarantees Elisa Cabeza. Common antifungals may work, but the treatment often lasts weeks or monthsand in cats management is much more complicated.
Young children, the elderly and people with weakened immunity face a greater risk of serious illness once the fungus enters the body. An official report states that, in rare cases, the infection can reach joints, lungs or the meninges, making it much more difficult to treat.
Before this alert, Uruguay recorded cases of sporotrichosis, mostly after contact with soil, plants or armadillosnot with cats. One from 2022 identified 157 cases diagnosed over 38 years, of which 128 were linked to armadillo scratches during hunts.
This ancient pattern helps explain why the new route of transmission through cats generated so much concern among clinicians and veterinarians: means that the country is not just registering more cases of the same disease, but a different way of propagation.
Stray cats make control difficult because many are never diagnosedtreated or kept in closed spaces while their wounds are still active.
One from 2022 detected the fungus in expelled droplets when infected cats sneeze, which expands the concern beyond scratches and bites.
The detection in Uruguay shows that a fungus that was mainly associated with outbreaks in Brazilian cats now has more solid points of spread throughout southern South America.
Quick diagnosistreatment of animals and people, and better control of stray cats will determine whether these alerts remain circumscribed or spread further.