Annals of Internal Medicine

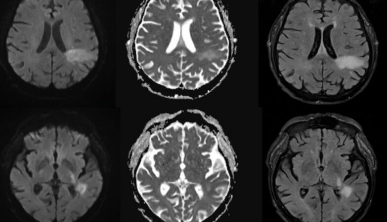
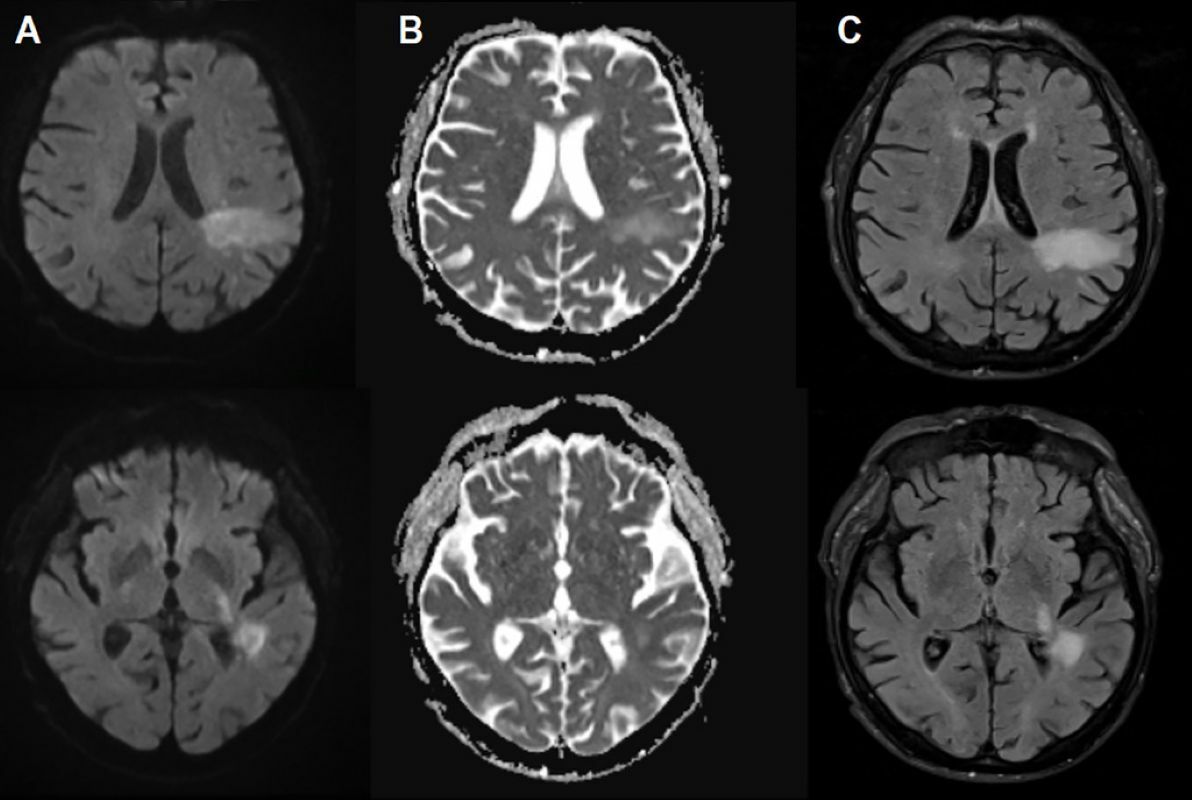
Magnetic resonance imaging of progressive multifocal leukoencephalopathy lesion
A new study suggests that the JC virus, which affects up to 90% of the world’s population, may cause progressive multifocal leukoencephalopathy in more situations than previously thought.
A common but generally harmless virus present in most adults around the world can represent a bigger threat than previously thought. New research suggests it may trigger a rare and often fatal brain disease, even in people without severe immunosuppression.
The virus, known as the JC virus, infects between 50% and 90% of the world’s population. Normally acquired in childhood, it remains latent in the body throughout life, causing no symptoms in the vast majority of cases. However, in rare circumstances, it can reactivate and lead to progressive multifocal leukoencephalopathy (PML), a devastating condition that attacks the brain.
PML occurs when the virus undergoes a mutation to a more aggressive form which invades brain cells, destroying the protective myelin sheath around nerve fibers. This leads to severe neurological damage, with symptoms ranging from speech and vision problems to motor dysfunction and seizures. The disease was previously considered almost exclusively associated with profound immunosuppression, as in patients with HIV/AIDS or those undergoing strong immunosuppressive treatments.
However, a new case published in the journal Annals of Internal Medicine challenges this assumption. Researchers report the case of a 72 year old man with advanced chronic kidney disease who has developed progressive multifocal leukoencephalopathy (PML) despite not having a traditionally weakened immune system, says the .
The patient, who suffered from stage 5 kidney failure, was admitted with mental confusion, weakness and difficulty speaking. Initially, doctors suspected a condition related to the accumulation of toxins in the blood, common in severe cases of kidney disease. But when her symptoms worsened despite treatment, brain scans revealed lesions characteristic of PML. Later tests confirmed the presence of the JC virus in his central nervous system. The patient died just two days after diagnosis.
Chronic kidney disease, which affects about 10% of adults worldwide, can compromise immune function in less obvious ways. Accumulation of toxins, chronic inflammation, and reduced ability to monitor viral activity can create conditions that allow latent virus to reactivate.
Although PML remains extremely rare, researchers warn that the spectrum of patients at risk may be wider than previously believed.